5 raisons pour lesquelles vos douleurs cervicales ne disparaîtront jamais (et ce qui aide vraiment)
Résumé : Vous vous réveillez encore avec une raideur de la nuque, des douleurs ou des fourmillements dans les bras ? Vous n’êtes pas seul·e et ce n’est pas purement psychologique. La plupart des solutions ne traitent que les symptômes, sans s’attaquer à la cause profonde. Dans cet article, vous découvrirez les 5 raisons souvent méconnues de la récurrence de vos douleurs cervicales (et ce qui fonctionne vraiment).
Linda M. l 5 juin 2025
Dernière mise à jour : 3 septembre 2025
1. Le vrai problème : la pression sur un nerf
La plupart des gens pensent que les douleurs cervicales sont dues à des tensions musculaires ou au stress.
En réalité, elles sont souvent causées par une compression nerveuse, généralement une hernie discale ou un déplacement du disque cervical.
Tant que cette compression n'est pas soulagée, la douleur persistera.
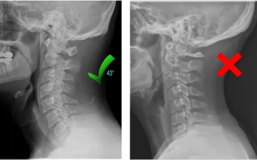
2. Votre cou a perdu sa courbure naturelle.
Des années passées le nez collé à son téléphone, à travailler à un bureau et à adopter une mauvaise posture pendant le sommeil peuvent aplatir la courbure naturelle de la nuque.
Cela entraîne un affaissement des vertèbres cervicales, une compression des nerfs et l'apparition de douleurs chroniques qu'aucun massage ni oreiller ne peut véritablement soulager.
3. L'inflammation et la tension entretiennent la douleur
Lorsqu'un nerf est irrité, les muscles se contractent automatiquement pour « protéger » la zone.
Cela crée un cercle vicieux douloureux de raideurs, de crampes et d'inflammation, empêchant le corps de se reposer et de récupérer véritablement, même pendant le repos.
4. Vous vous concentrez sur le mauvais domaine
Les douleurs cervicales peuvent se manifester par des tensions dans l'épaule, des engourdissements dans le bras, voire des picotements dans la main, mais il ne s'agit là que de symptômes.
Le véritable problème se situe souvent plus haut, au niveau des vertèbres cervicales.
Traiter la mauvaise zone ne permettra jamais de soulager la pression exercée sur le nerf à l'origine de la douleur.
5. La plupart des solutions ne font que masquer la douleur
Les analgésiques, les compresses chaudes et les massages peuvent apporter un soulagement temporaire, mais ils ne traitent pas la cause sous-jacente de votre problème de colonne vertébrale.
En réalité, y recourir trop longtemps peut aggraver les symptômes en laissant la cause profonde non traitée.
Mais que pouvez-vous faire ?
Si vous souhaitez vraiment un soulagement durable, vous devez vous attaquer à la cause profonde du problème, et non pas simplement soulager la douleur.
Cela signifie :
✓ Soulager la pression exercée sur les nerfs pincés
✓ Restaurer la courbure naturelle de votre cou
✓ Relâcher les tensions musculaires profondes qui déséquilibrent l’ensemble de votre corps
Une équipe de physiothérapeutes et d'ingénieurs a travaillé pendant des années sur une solution domestique simple qui fait exactement cela.
Cet appareil s'attaque à la cause profonde du problème pendant que vous vous détendez.
Calmax est un appareil thérapeutique 3 en 1 qui s'attaque à la racine du problème. Il combine :
- Traction cervicale pour soulager en douceur la colonne vertébrale
- Chaleur apaisante pour stimuler la circulation sanguine et détendre les muscles
- Massage thérapeutique pour dénouer les tensions musculaires profondes.
Et le meilleur dans tout ça ? Cela ne vous prend que 15 minutes par jour, confortablement installé chez vous.
Une équipe de physiothérapeutes et d'ingénieurs a travaillé pendant des années sur une solution domestique simple qui fait exactement cela.
Vivez la révolution dont tout le monde parle, sans risque.
Plus de 945 personnes utilisent déjà Calmax pour se sentir mieux, bouger plus facilement et enfin retrouver un sommeil sans douleur.
Sans analgésiques, sans consultation médicale et sans effets secondaires.
Et le meilleur dans tout ça ?
Chaque commande est entièrement couverte par un essai sans risque de 90 jours .
Vous pouvez donc tout tester par vous-même, sans aucune obligation.